Geraldine Ramirez is coming to terms with finding out her precious baby may not live through labour or beyond. Here she shares her story.
On 2 July, my world changed. Fourteen weeks pregnant with our second child, I was waiting on a call from my midwife to tell me if our baby had Down syndrome. I was nervous and anxious about how a positive diagnosis would change our lives, but I also settled in the knowledge that he or she could still live a long life filled with love.
My 12 weeks scan had shown an ‘almost’ high risk for Down syndrome and my midwife encouraged me to get further testing. I wasn’t keen on having an amniocentesis (inserting a very long needle through the abdomen into the uterus and taking a sample of the amniocentesis fluid) as I’d been told the risk of miscarriage was higher than the chance of the test coming back positive. But there was an expensive, no-risk blood test that could tell us with much more certainty if our baby had an extra copy of chromosome 21.
We decided to do the blood test so we could either prepare for having a disabled child and find out everything we could before the birth, or let the idea go and not worry about it the rest of the pregnancy.
I was driving home after dropping my son at Mum’s house when my midwife rang with the results. I quickly pulled the car over: eager, hopeful and nervous.
“Geraldine, I’ve got the test results back and I’m really sorry but it’s not good news. Baby doesn’t have Down syndrome, but the test showed another abnormality. I think it’s best if you call Michael and ask if he can come home, then we can meet and talk it over.”
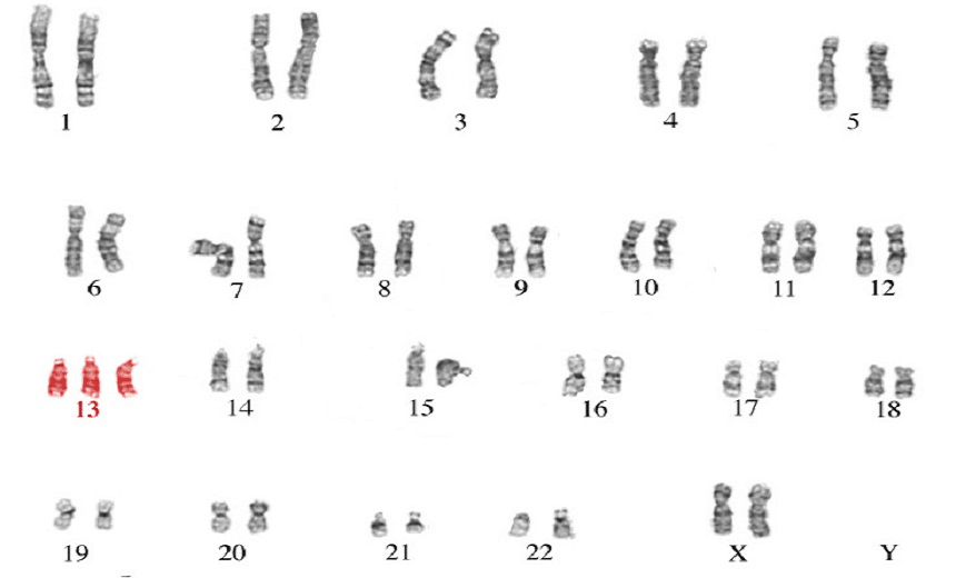
Tears came instantly as my mind went back to the room where I’d had the blood test done. The genetic counsellor had explained that they were testing for three things: Down syndrome, Trisomy 18 and Trisomy 13. She explained each condition briefly, stressing that babies with T13 and T18 were unlikely to survive long after birth and not beyond the first year. I remembered thinking how that would be the most awful situation. Having to choose between ending a much-wanted pregnancy, or giving birth to a baby that wouldn’t survive.
“What is it – what condition does baby have?” I asked through the tears. She was reluctant to tell me on the phone but I’d waited long enough and had to know.
“The results came back positive for Trisomy 13. I’m so sorry Geraldine.”
During that drive, and the time I had at home before Michael arrived, I cried harder than I’ve ever cried in my life. Google results brought up words like ‘incompatible with life’ and ‘high likelihood of miscarriage or stillbirth’. I just remember repeating the word “no” over and over again.
When Michael came home, we held each other and cried, not really comprehending the situation but feeling the weight of it. My midwife came to our house and explained what she knew about T13, that my blood work showed our baby had an 85% chance of having it, and what the next steps were, which was getting an amniocentesis to confirm the diagnosis and deciding what we wanted to do.
The wait for the amnio was excruciating. I was initially told there were no appointments for three weeks but about a week later, I got a call from the hospital saying they had an appointment available in 20 minutes. I’m not sure how I got there safely.
The amnio was scary. I couldn’t look at the needle but Michael held my hand, kissed my head and watched for me. I closed my eyes and focussed on counting slowly till it was over. The doctor said she hadn’t seen any abnormalities, a very positive sign, planting seeds of hope that the blood test might have been wrong.
Four days later I was waiting for another phone call, unsure how I felt. When the midwife rang and said that the amnio test came back positive, it was like I was being told for the first time again. I felt like our baby had received a death sentence.
By this time we’d already decided how we wanted to move forward, but the decision to get there had been painstakingly hard.
Initially, I had so many fears. I was most afraid of the pain and suffering our baby might experience if born alive and I wonder if our baby could be in pain even now. I was fearful about what the experience would do to our two and a half-year-old, to our marriage, and the grief it would cause to our wider family.
There were so many scenarios to consider. Through hours of Googling, we’d learnt that some babies with this condition lived a lot longer than what we were first told. We had to imagine every possible scenario – from a stillbirth tomorrow, to raising a severely disabled child for the next 15 years.
When we settled on the decision to carry our baby, I felt at peace. It was as if all the fear had fallen away. I know either decision could be made from a loving, protective place, but for our family, carrying and cherishing our baby as long as we possibly can is the best way forward.
Sometimes in nature, things go wrong. I don’t blame God. I don’t believe there’s a bigger reason behind why things happen. I do believe our baby’s life has meaning and purpose.
Although we don’t like to think about it, none of us are getting out of here alive. We’ll all meet death one day. I realised I didn’t believe the length of a life determined it’s worth.
Deciding to continue with the pregnancy was deciding to let nature run its course. We’re hoping for the best, while trying to prepare for the worst. And praying God will give us the strength to deal with what’s ahead.
One beautiful thing we learnt from all the testing was that our baby is a little girl. We aren’t ones to find out the gender before the birth (I like surprises), but there’d been enough surprises with this pregnancy already. So for now we’re focussing on getting to know our little girl, learning what it means to live in the moment as we enjoy the time we have with her, while she’s comfortable and kicking about inside me.
Geraldine Ramirez is a stay-at-home mum who used to work in communications telling other people’s stories. This is the first time she’s told her own. Follow her journey here.


